怎么申请皇冠信用网 _广东一男子20多年不敢一个人出门,医生从他脑中取出10厘米活虫
皇冠信用网会员开户(www.hg0088.us)皇冠会员开户_登3代理,皇冠信用网/—开会员账号—皇冠信用网招登1登2登3皇冠信用网平台出售,家住汕尾的阿勇(化名)今年52岁,从21年前开始出现癫痫大发作以来,他几乎从未独自出过门怎么申请皇冠信用网 。近日,广州的医生从他颅内取出一条潜伏长达20余年、约10厘米的裂头蚴,他感到前所未有的轻松。
不敢独自出门的男子
“距离现在已经有21年了!”阿勇感慨道怎么申请皇冠信用网 。那晚,他在睡梦中突然四肢抽搐、牙关咬紧、眼球上翻,完全失去意识。在当地医院被诊断为“肉芽肿炎”,但医生告知,手术可能加剧发作,阿勇选择了保守治疗。
服用抗癫痫药后,阿勇依然会出现癫痫发作怎么申请皇冠信用网 。他的心理压力与日俱增,“每天在家,不敢一个人出门,担心随时发作。”他感觉脑袋始终堵着东西,只能靠小诊所的药片暂时缓解。
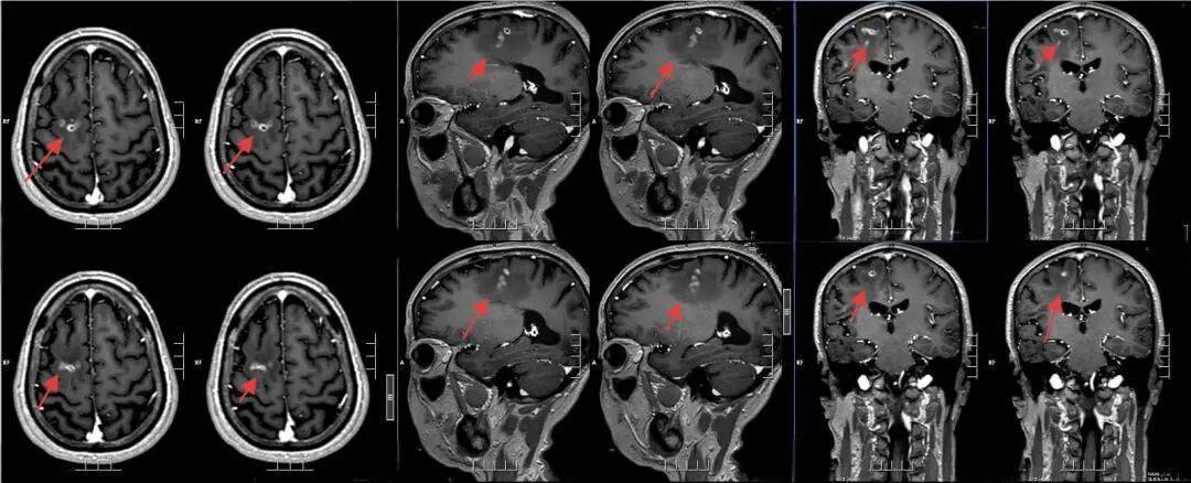
一年前,阿勇的病情进一步加重怎么申请皇冠信用网 。每次发作后,会出现短暂失语、左侧面瘫和肢体麻木。颅脑MRI检查结果提示,可能是寄生虫感染。为寻求进一步诊疗,阿勇来到广东三九脑科医院。
手术取出10厘米活虫
该院神经外二科张旭标副主任医师接诊后,根据影像结果,发现其右额叶病变,局部肉芽肿形成伴周围组织水肿怎么申请皇冠信用网 。“这是大脑为了隔离‘入侵者’筑起一道‘隔离墙’,周围的脑组织被刺激得肿胀。”张旭标解释,这些影像特征高度指向脑裂头蚴病。经比对,病灶范围稳定,手术时机成熟。

术前影像
“很激动,身体被搞垮了20多年怎么申请皇冠信用网 。”得知手术有望根治顽疾,阿勇在期待中夹杂着紧张。
手术采用神经导航技术,精确定位病变,张旭标在显微镜下小心抓取寄生虫、清理“虫窝”,避免损伤周围功能区脑组织怎么申请皇冠信用网 。术中,一条长约10厘米的灰白色寄生虫被完整取出。术后病理报告证实为裂头蚴。

张旭标在手术中
术后恢复良好的阿勇,脸上露出了笑容,“头不‘堵’了,感觉人都开朗、轻松了怎么申请皇冠信用网 。”
该院神经外二科副主任刘妲介绍,裂头蚴病多与饮食习惯相关,常因食用未煮熟的青蛙、蛇类,或饮用被污染的生水所致怎么申请皇冠信用网 。阿勇回忆,自己曾喝过生水,后来偶尔也会食用生腌虾蟹。
寄生虫在大脑中“安家”后,会持续刺激周围组织,引发肉芽肿和水肿,压迫神经结构,进而导致癫痫、头痛、肢体麻木甚至意识丧失怎么申请皇冠信用网 。由于潜伏期长、症状隐匿,极易被误诊为普通癫痫或脑肿瘤。刘妲特别提醒,预防寄生虫感染,关键要做到“三不”:不喝生水,不吃生食或未煮熟的食物,不用生肉敷贴伤口。
来源:广州日报
猜你喜欢
- 2小时前怎么申请皇冠信用网 _广东一男子20多年不敢一个人出门,医生从他脑中取出10厘米活虫
- 7小时前皇冠信用網代理注册 _2026世界杯分组:三个东道主好签 法国挪威同组+日本战荷兰
- 8小时前皇冠信用網网址 _北京一老人家中电视机突起火 消防:插头长期不拔有风险
- 9小时前如何找当地皇冠代理 _2025足协杯决赛前瞻:北京国安对决河南,谁能夺得桂冠?
- 14小时前皇冠信用網怎么租 _我就是那个傻子!陈震的回旋镖自中眉心
- 14小时前皇冠信用網怎么租 _中国”准航母“现身菲律宾海,澳国防部长公开声明:正在对此实施严密监视
- 21小时前怎么申请皇冠信用网 _上百战舰集结东部海域!英媒:史无前例,大陆誓要进行最大规模武力展示?
- 1天前皇冠信用网怎么代理 _冯德莱恩提出新版没收俄资产方案,俄称欧盟将受到“最严厉的回应”,比利时反对新方案
- 2天前皇冠信用盘会员申请 _刘伟任吉林省副省长
- 2天前皇冠信用网登123出租 _普京警告欧洲后,车臣领导人卡德罗夫:就等你一声令下,我绝不会客气
- 2天前皇冠信用网登123出租 _刘伟升任吉林省副省长
- 2天前皇冠信用庄家 _失望的米克尔·阿尔特塔在德克兰·赖斯和耶森·莫斯科受伤后发声,将矛头指向密集赛程
- 2天前皇冠足球平台代理 _吉林松原34岁男子姚某连续2天流窜2地致2人死亡,警方通报:已安全抓获
- 2天前皇冠信用盘账号 _“情侣婚前先后坠楼身亡”事件进展:男方提出赔偿归还超百万元,女方称他们也是受害者
- 2天前足球全部比赛 _DeepSeek新模型达到奥数金牌水平
- 2天前英格兰联赛 _中国人带娃偷渡去美国“避难”,结果父亲被抓孩子“失踪”
- 3天前迈阿密热火vs洛杉矶快船 _俄军宣布正式占领红军城!俄罗斯伤亡五万人,大批乌军尸横遍野,最后决战即将打响
- 3天前波多黎各 vs 牙买加 _昆明警方意外查获名为“武林秘籍”的表格,详细划分人设、开场白……
- 3天前波多黎各 vs 牙买加 _普京与美特使会谈5小时后,俄方表示不能接受领土问题折中方案
- 3天前华盛顿奇才 vs 密尔洪基雄鹿 _乌军否认俄控制红军城:俄军在展示旗帜后撤离,以此进行宣传造势;此前普京称主动权完全掌握在俄军手中
- 4天前波士顿凯尔特人 vs纽约尼克斯 _高速公路,要开始集中免费了吗
- 4天前冰球 _印度媒体圈炸了:莫迪向普京要了5件杀器,件件针对解放军
- 5天前利物浦比分 _上海一辆蔚来EC6撞石墩后车尾断裂,客服回应:目前已与车主取得联系,正在复盘事故经过
- 5天前皇冠信用网在线注册 _别吹齐尔克泽了!8.5分王牌才是曼联逆转水晶宫的真核


网友评论